Product
소개
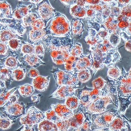
Oil Red O – Lipid Stain Kit
The Oil Red O kit is used to demonstrate adipocites and neutral triglicerides. This is also useful to demonstrate adipogenesis.
Fat cells and neutral fat will be coloured in red and the nuclei in blue.

사용 및 시료 준비 (Uses & Sample preparation)
This kit can be used in frozen tissue sections, fresh smears or touch preps. It is recommended the use of saline formalin or Baker’s fixative in order to maintain the phospholipids
키트 구성 (Kit Components)
• Mayer’s hematoxylin
• Absolute propylene glicol
• 85% propylene glicol
• Oil Red O Reagent
염색 과정 (Procedure)
1. Rinse slides with distilled water
2. Place in absolute propylene glycol
3. Place in Oil Red O solution
4. Place in 85% propylene glycol
5. Rinse in two changes of distilled water
6. Place in Hematoxylin
7. Rinse well with water
8. Clear and coverslip
염색 특징 (Staining Characteristics)
Fat cells and neutral fat can be coloured in red and the nuclei in blue-purple
주문정보
KH07009-125 Oil Red O – Lipid Stain Kit 125 ml
KH07009-500 Oil Red O – Lipid Stain Kit 500 ml
관련자료