Product
소개
Masson’s Trichrome Stain Kit
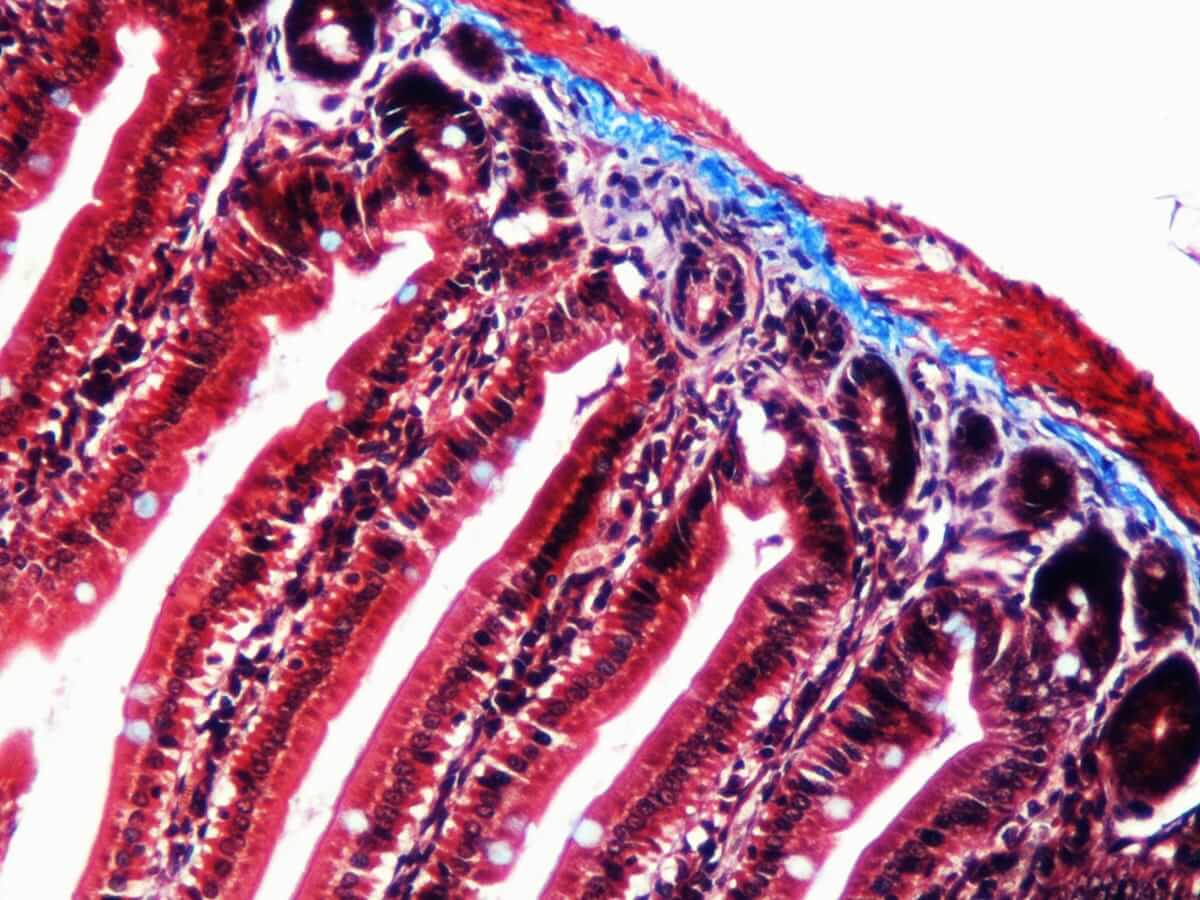
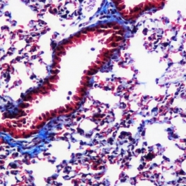
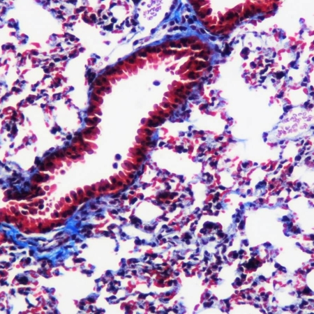
Masson’s trichrome stain is used to demonstrate connective tissue elements, collagen and muscle fibers. After staining, collagen and mucin will be coloured in blue, muscle fibers, cytoplasm and keratin in red and the nuclei blue/black.

사용 및 시료 준비 (Use & Sample Preparation)
Formalin-fixed, paraffin and frozen samples can be used. After each step, rinsing with tap water and distilled water is required unless specified
키트 구성 (Kit Components)
• Hematoxylin Weigert’s Reagent A
• Hematoxylin Weigert’s Reagent B
• Phosfotungstic Phosfomolibdic Acid Reagent
• Aniline Blue
• Glacial acetic acid 1%
• Bouin fixative reagent
• Biebrich scarlet
염색 과정 (Procedure)
1. Place slide in Bouin’s reagent at 60ºC
2. Let the slides cool
3. Mix equal parts of Weigert’s Reagent A and B
4. Place slide in Weigert’s Hematoxylin reagent freshly prepared
5. Apply Briebrich Scarlet and do not rinse
6. Apply Phosphotungstic phosphomolybdic acid. Do not rinse
7. Apply Aniline blue reagent
8. Apply Glacial acetic acid 1%
9. Dehydrate with ethanol, clear and coverslip
염색 특징 (Stain Characteristics)
Collagen and mucin can be visualized as blue, muscle fibers, cytoplasm and keratin in red and the nuclei blue/black
주문정보
KH07007-125 Masson’s Trichrome Stain Kit 125 ml
KH07007-500 Masson’s Trichrome Stain Kit 500 ml
관련자료