인성크로마텍 로고

검색버튼
퀵메뉴 펼침

o
p
e
n
c
l
o
s
e

Harris Hematoxylin Solution
제품명: Harris Hematoxylin Solution
용도: Used together with Eosin, nuclear fast red, periodic acid or alcian blue
메이커: Bio Quochem
카달로그:


소개

 

Harris Hematoxylin Solution


Hematoxylin is frequently used together with Eosin, nuclear fast red, periodic acid or alcian blue. It is also used in immunohistochemical procedures to visualize the end product. This product does not contain mercury.

 


 

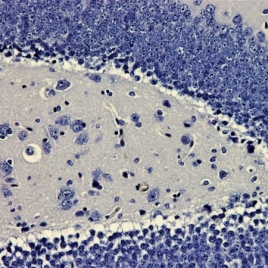
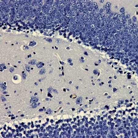
KH07003-Harris-H-Brain-20x-450x450.jpg     KH07003-Harris-H-Brain-10-x.jpg 


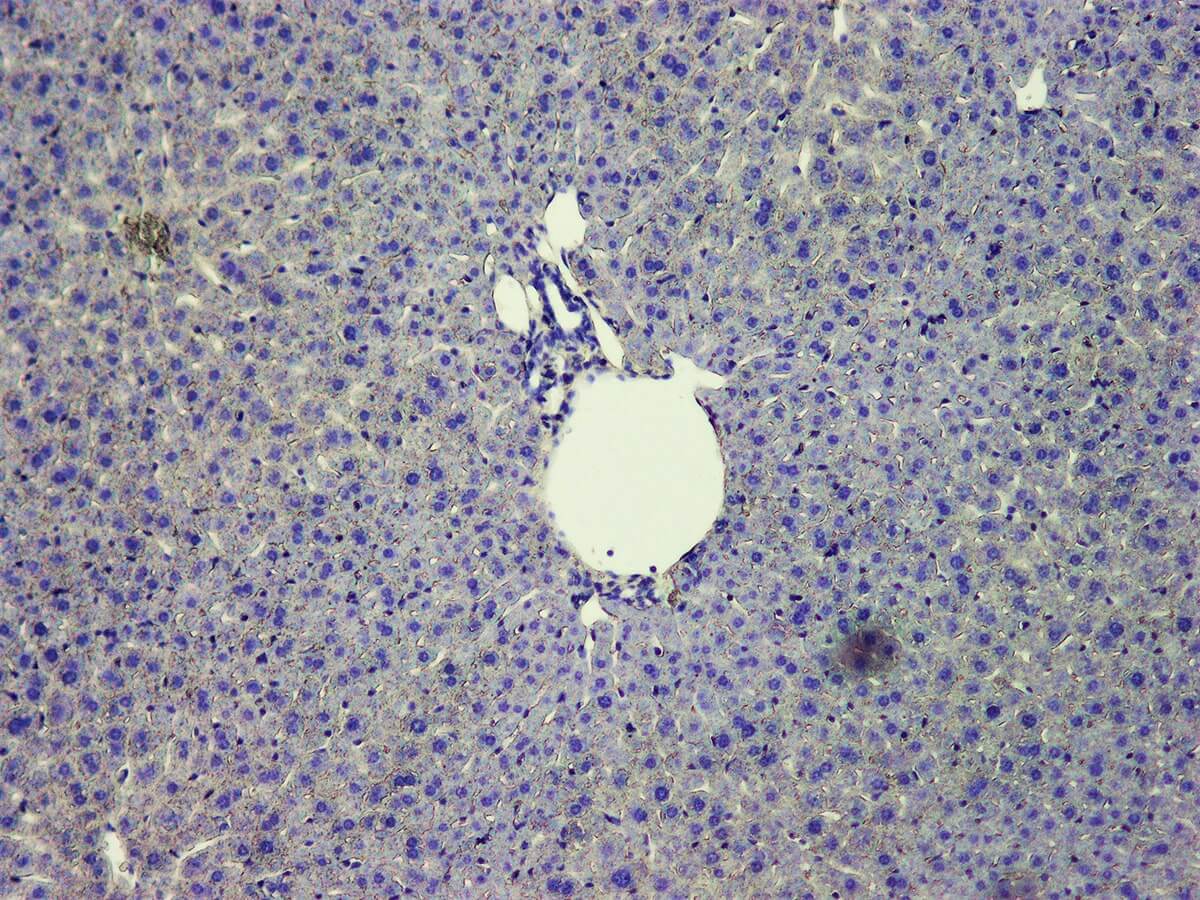
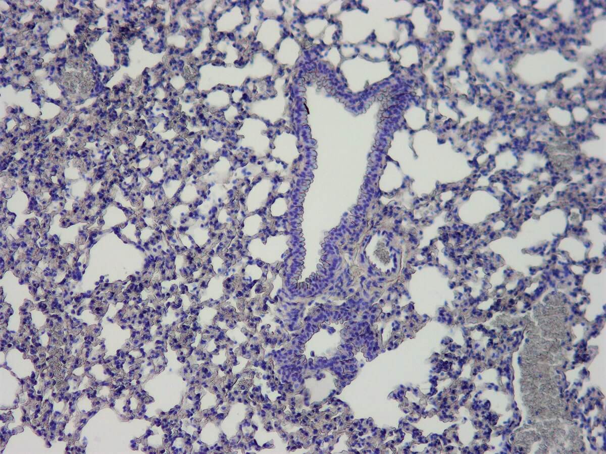
KH07003-Harris-H-Lung-10-x.jpg     KH07003-Harris-H-Liver-10-x.jpg

 

 


사용 & 시료 준비 (Uses & Sample Preparation)

Slides should be deparaffinized through xylene or substitute and descending grades of alcohol to distilled water prior to staining. Designed for research use only, it is not approved for human or animal use, or clinical diagnosis.

 

 

키트 구성 (Kit Components)

• Harris Hematoxylin

 

 

염색 과정 (Procedure)

1.  Add Hematoxylin

2.  Wash with tap water

3.  Add Glacial acetic acid

4.  Wash with tap water

5.  Add Eosin solution

6.  Wash with tap water

7.  Dehydrate with graded ethanol, clear and coverslip. 

 

 

염색 특징 (Staining Characteristics)

Nuclei can be visualized as blue-purple.


주문정보

KH07003-125        Harris Hematoxylin Solution        125 ml

KH07003-500        Harris Hematoxylin Solution        500 ml

관련자료