인성크로마텍 로고

검색버튼
퀵메뉴 펼침

o
p
e
n
c
l
o
s
e

Schiff Reagent Solution
제품명: Schiff Reagent Solution
용도: Used in the staining technique PAS
메이커: Bio Quochem
카달로그:


소개

 

Schiff Reagent Solution


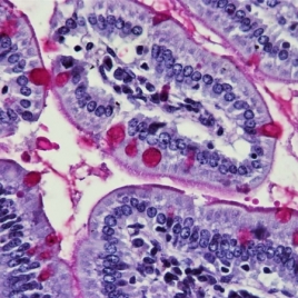
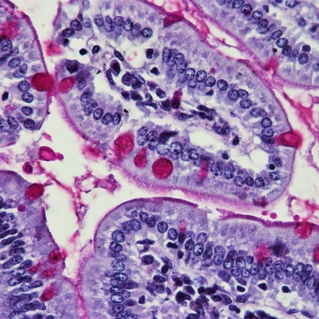
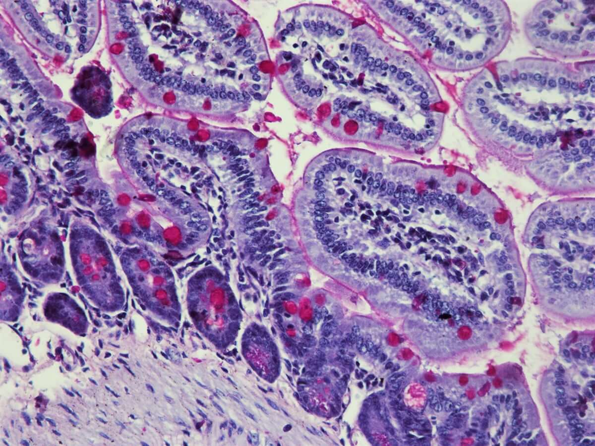
This reagent is used in the staining technique PAS. Periodic Acid Schiff is used to demonstrate simple polysaccharides, neutral muco-polisaccharides, mucoproteins, and glicolipids. It can be used together with hematoxylin or alcian blue.

 

 

 

KH07013_Schiff-Gut-20-x-450x450.jpg 


KH07013-Schiff-gut-10x.jpg      KH07013_Schiff-Gut-20-X-2.jpg

 

 

 

사용 및 시료 준비 (Uses & Sample preparation)

The short procedure of PAS staining with Harris Hematoxylin is included in the section below. Designed for research use only, it is not approved for human or animal use, or clinical diagnosis. 

 

 

키트 구성 (Kit Components)

•  Schiff Reagent 

 

 

염색 과정 (Procedure)

1. Deparaffinize and hydrate

2. Add periodic acid 0,5%

3. Rinse with distilled water

4. Add Schiff Reagent

5. Rinse with 3 baths of sulfurose acid

6. Rinse with tap water

7. Place in hematoxylin

8. Rinse with tap water

9. Dehydrate, clear and coverslip 

 

 

염색 특징 (Staining Characteristics)

Only used together with the PAS Stain 


주문정보

KH07013-125        Schiff Reagent Solution        125 ml

KH07013-500        Schiff Reagent Solution        500 ml

관련자료