인성크로마텍 로고

검색버튼
퀵메뉴 펼침

o
p
e
n
c
l
o
s
e

Periodic Acid Schiff (PAS) – Mayer’s Hematoxylin
제품명: Periodic Acid Schiff (PAS) – Mayer’s Hematoxylin
용도: To demonstrate simple polysaccharides, neutral muco-polisaccharides, mucoproteins, and glicolipids
메이커: Bio Quochem
카달로그:


소개

 

Periodic Acid Schiff (PAS) – Mayer’s Hematoxylin


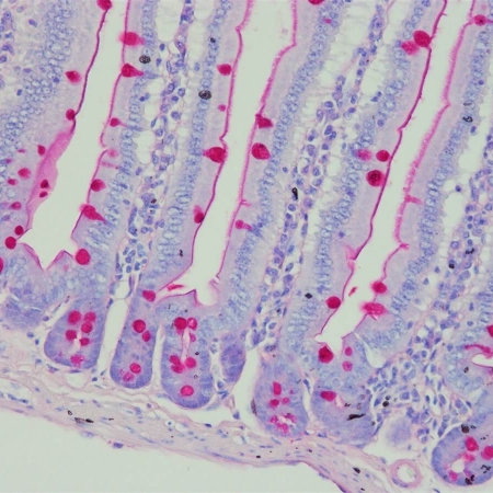
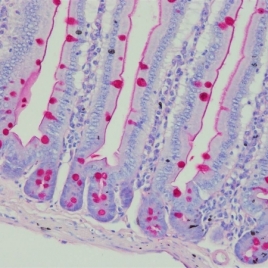
Periodic Acid Schiff staining technique is used to demonstrate simple polysaccharides, neutral muco-polisaccharides, mucoproteins, and glicolipids. In this kit, Mayer’s hematoxylin is used to stain cell nuclei.

 

 

KH07011-Pas-Mayer-Gut-20-x-450x450.jpg 


KH07011-Pas-Mayers-Gut-40-x.jpg      KH07011-PAS-Mayers.-Gut-10-x.jpg

 

 

 

사용 및 시료 준비 (Uses & Sample Preparation)

Designed for research use only, it is not approved for human or animal use, or clinical diagnosis.



키트 구성 (Kit Components)

•  Schiff Reagent

•  Periodic acid 0,5%

•  Sulfurose Acid Reagent

•  Mayer’s Hematoxylin 


 

염색 과정 (Procedure)

1.  Deparaffinize and hydrate

2.  Add periodic acid 0,5%

3.  Rinse with distilled water

4.  Add Schiff Reagent

5.  Rinse with 3 baths of sulfurose acid

6.  Rinse with tap water

7.  Place in hematoxylin

8.  Rinse with tap water

9.  Dehydrate, clear and coverslip



염색 특징 (Staining Characteristics)

Nuclei can be visualized in violet, simple polysaccharides, neutral muco-polisaccharides, glicolipids and basement membrane in red/purple


주문정보

KH07011-125        Periodic Acid Schiff (PAS) – Mayer’s Hematoxylin        125 ml

KH07011-500        Periodic Acid Schiff (PAS) – Mayer’s Hematoxylin        500 ml

관련자료