인성크로마텍 로고

검색버튼
퀵메뉴 펼침

o
p
e
n
c
l
o
s
e

Alcian Blue Stain Kit
제품명: Alcian Blue Stain Kit
용도: To detect acid mucopolysaccharides in tissue samples
메이커: Bio Quochem
카달로그:


소개


Alcian Blue Stain Kit


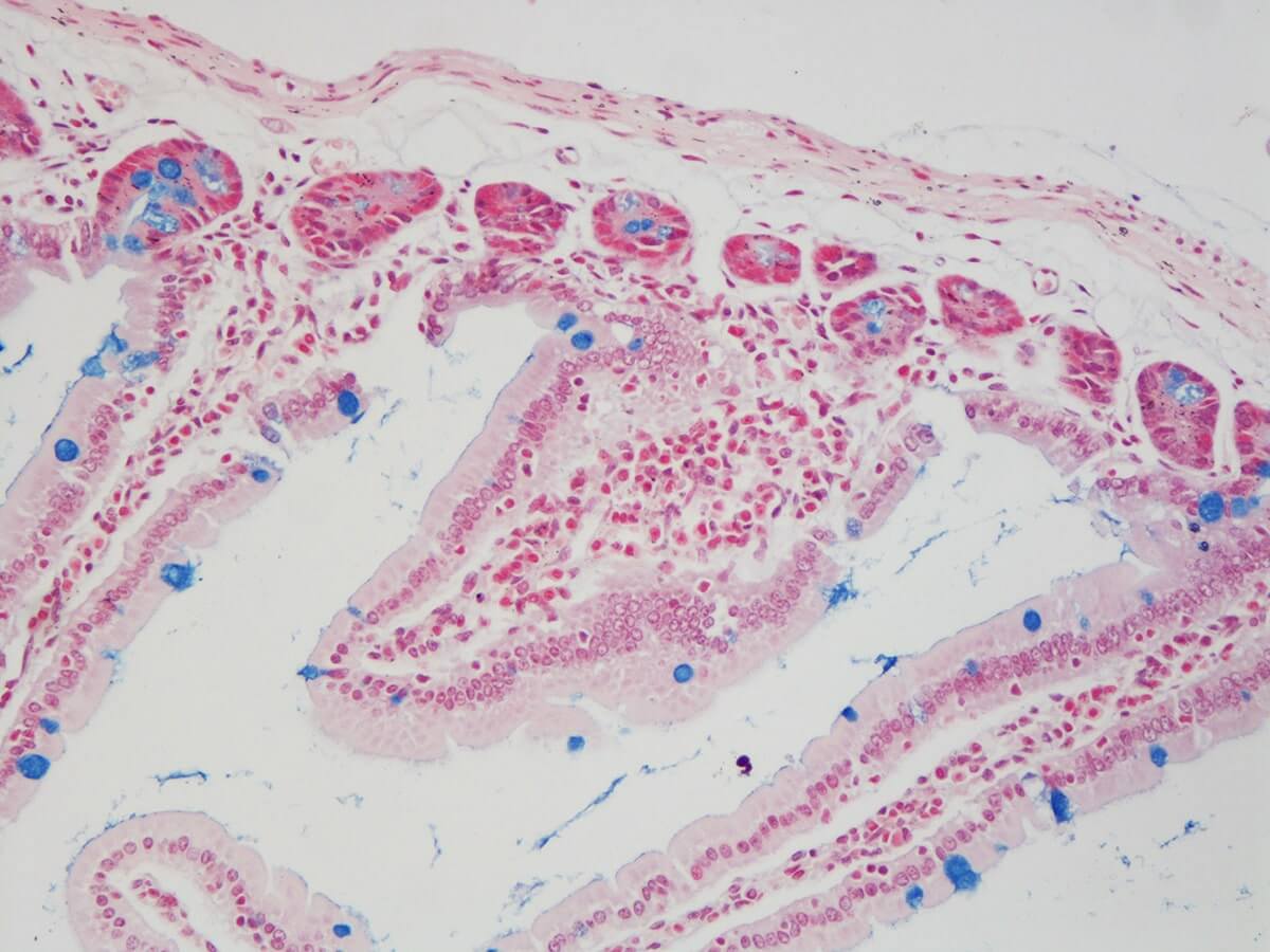
Alcian Blue 2.5 pH is used to detect acid mucopolysaccharides in tissue samples, that cannot be detected with the habitual method of hematoxylin – eosin. Sulphured and carboxylated mucins can be visualized. Nuclear fast red is supplied as a counterstain, to visualize cell nucleus.

 


Gut-histology-section-20X-alcian-blue-mejorada-450x450.jpg    KH07001-Alcian-Blue-Gut-20x.jpg    

 


사용 및 시료 전처리 (Uses & Sample Preparation) 

Samples do not require special preparation. This kit is design for research use only, it is not approved for human or animal use, or clinical diagnosis. 

 

 

키트 구성 (Kit Components)

•  3% Glacial Acetic Acid

•  Alcian Blue pH 2.5

•  Nuclear Fast Red 

 


염색 과정 (Procedure) 

1.  Deparaffinize sample and hydrate with distilled water

2.  Add 3% Glacial acetic acid to the sample and remove excess

3.  Add Alcian blue pH 2.5 (30 min)

4.  Remove excess rinsing briefly with 3 % Glacial acetic acid (20 s). Rinse with tap water and deionized water two times (4 min)

5.  Add Nuclear Fast Red (5 min)

6.  Rinse in tap water and deionized water two times (4 min)

7.  Dehydrate with graded ethanol, clear and coverslip 


주문정보

KH07001-125         Alcian Blue Stain Kit          125 ml 

KH07001-500         Alcian Blue Stain Kit          500 ml

관련자료