Product
소개
Mayer’s Hematoxylin Solution
Mayer’s Hematoxylin is frequently used together with Eosin, nuclear fast red, periodic acid or alcian blue. It is also used in immunohistochemical procedures to visualize the end product. This product does not contain mercury.

사용 및 시료 준비 (Uses & Sample Preparation)
Slides should be deparaffinized through xylene or substitute and descending grades of alcohol to distilled water prior to staining. Designed for research use only, it is not approved for human or animal use, or clinical diagnosis.
키트 구성 (Kit Components)
• Mayer’s Hematoxylin
염색 과정 (Procedure)
1. Add Hematoxylin
2. Wash with warm tap water
3. Add Glacial acetic acid
4. Wash with tap water
5. Add Eosin solution
6. Wash with tap water
7. Dehydrate with graded ethanol, clear and coverslip
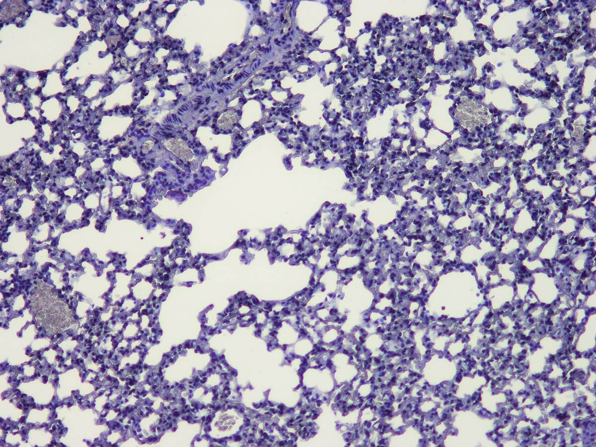
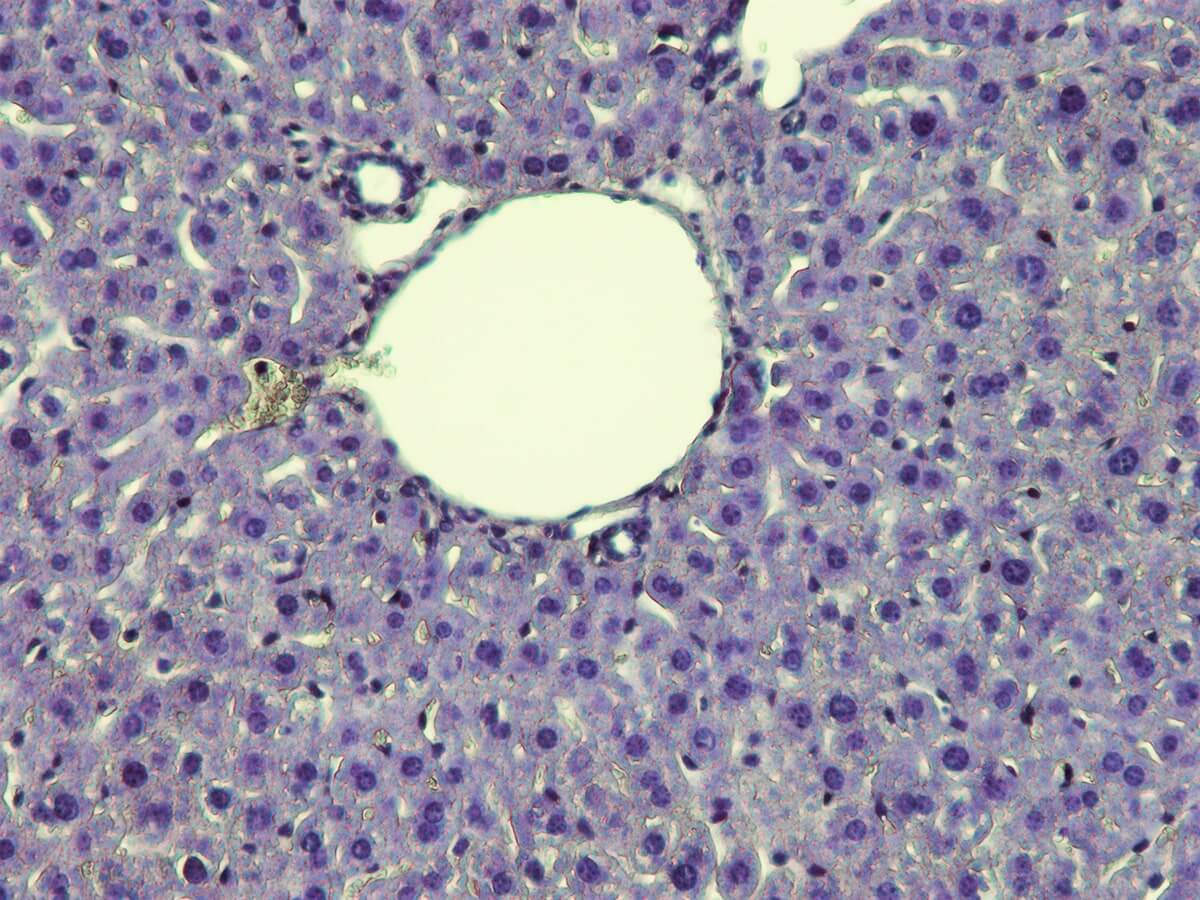
염색 특징 (Staining Characteristics)
Nuclei can be visualized as blue-purple.
주문정보
KH07008-125 Mayer’s Hematoxylin Solution 125 ml
KH07008-500 Mayer’s Hematoxylin Solution 500 ml
관련자료